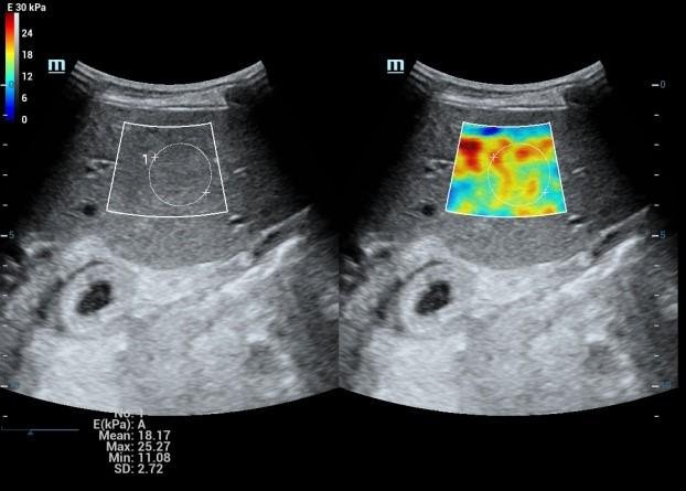
Liver Elastography

Technical Features

Machine : RESONA 7 (NEXT GENERATION SONOGRAPHY MACHINE)
  • Shear Wave Elastograghy & Strain Elastography
  • BREAKTHROUGH ZONE SONOGRAPHY TECHNOLOGY (ZST from ZONARE, CALIFORNIA)
  • 20 MHz PROBE (FIRST IN ANAND)
  • HD SCOPE For High Resolution Images
  • V FLOW For complex micro-hemodynamics
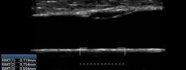
  • RIMT (RF-Data based IMT) For Atheromatous Changes in Carotid Artery
  • High End SHEAR WAVE ELASTOGRAPHY For LIVER FIBROSIS/THYROID MALIGNANCY/BREAST CANCER
  • UWN+ Contrast Imaging (ULTRASOUND CONTRAST IMAGING)
  • Natural Touch Elastography for GYN

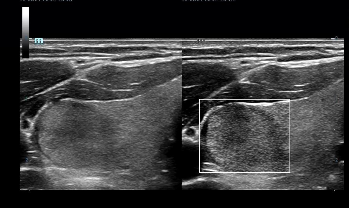
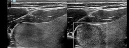
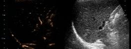
  • Images

    Liver Elastography

    Liver Elastography

    Liver Elastography

    Liver Elastography

    Liver Elastography

    Liver Elastography