3T MRI with Compressed Sense - 1st in Southeast Asia
The fastest MRI in INDIA
Completes brain MRI with 2X faster with equal image quality
Patient Friendly
Full Body MRI Screening
As much as 30 % thoughput improvements
Up to 80 % noise reduction with ComforTone.
Attentive patient guidance with Auto voice
Patient Informations
Preparation : No, 12-14 hours fasting for MRCP and 4 hours fasting if sedation needed. Time taken in Actual Study : 20-40 minutes
Images
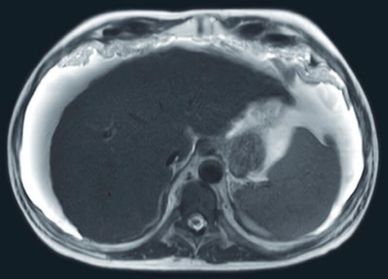
Body
Breast
Cardiac
Musculoskeletal
Musculoskeletal
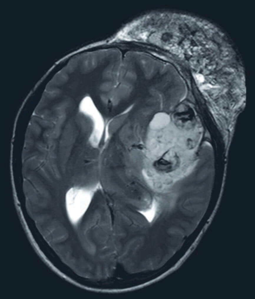
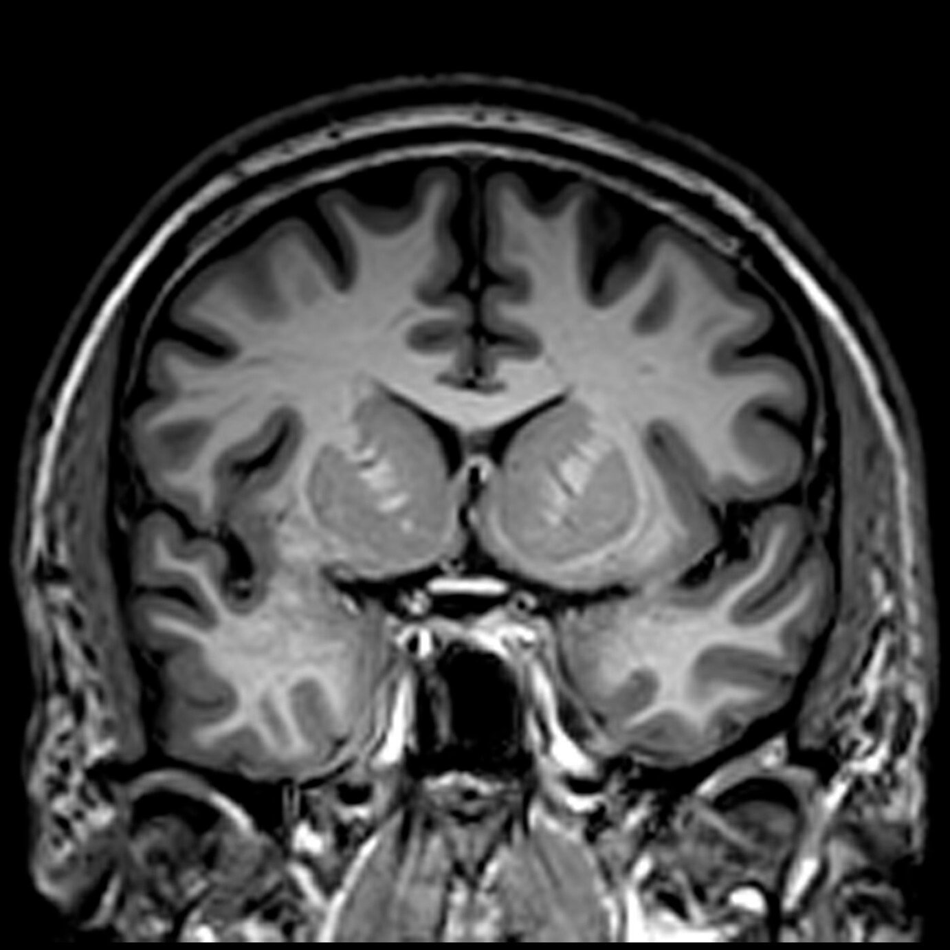
Neuro
Neuro
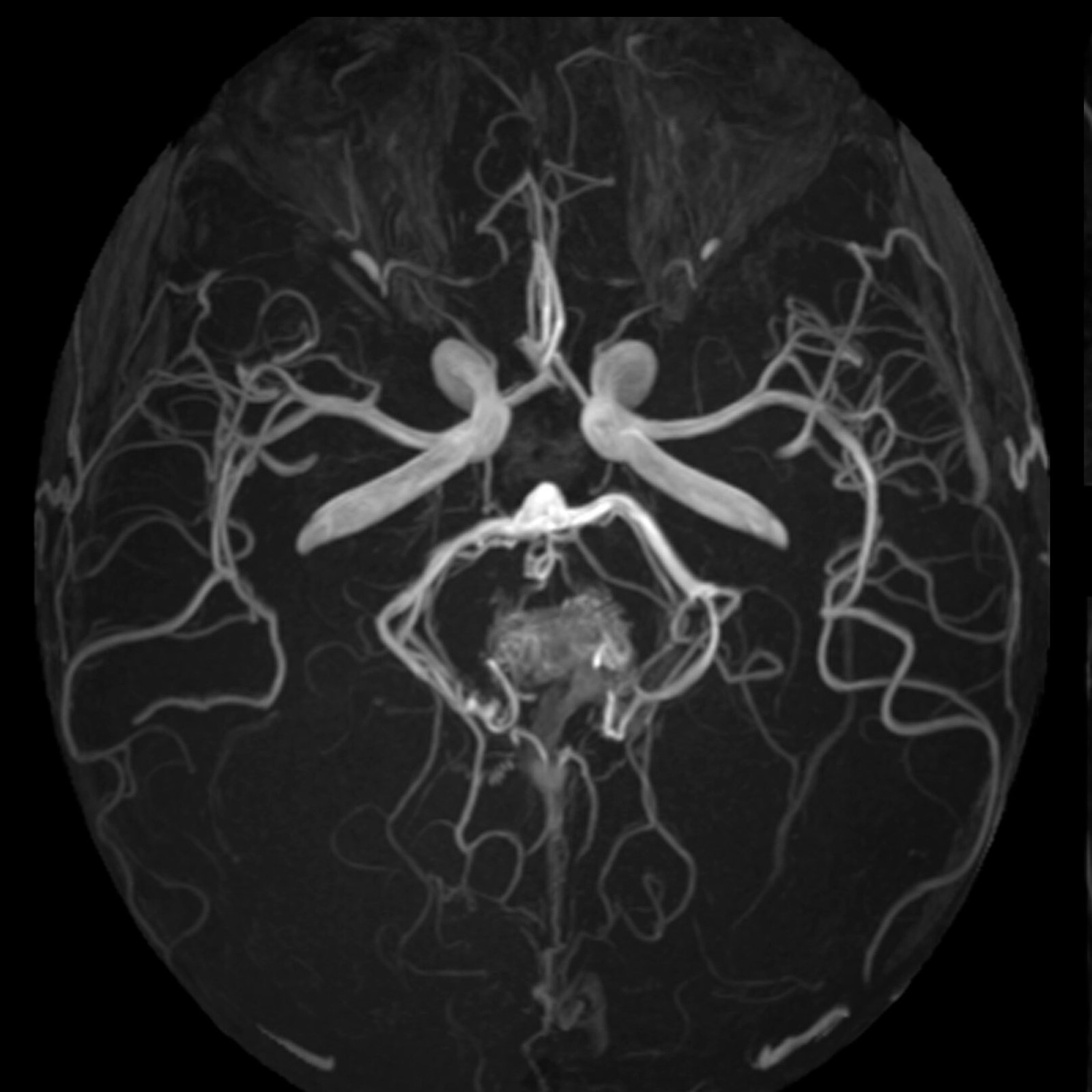
Neurovascular
Neurovascular
Orthopedic
Orthopedic
Pediatric
Pelvis
Spectroscopy
Spectroscopy
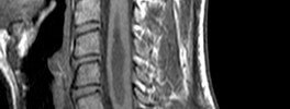
Spine
Spine
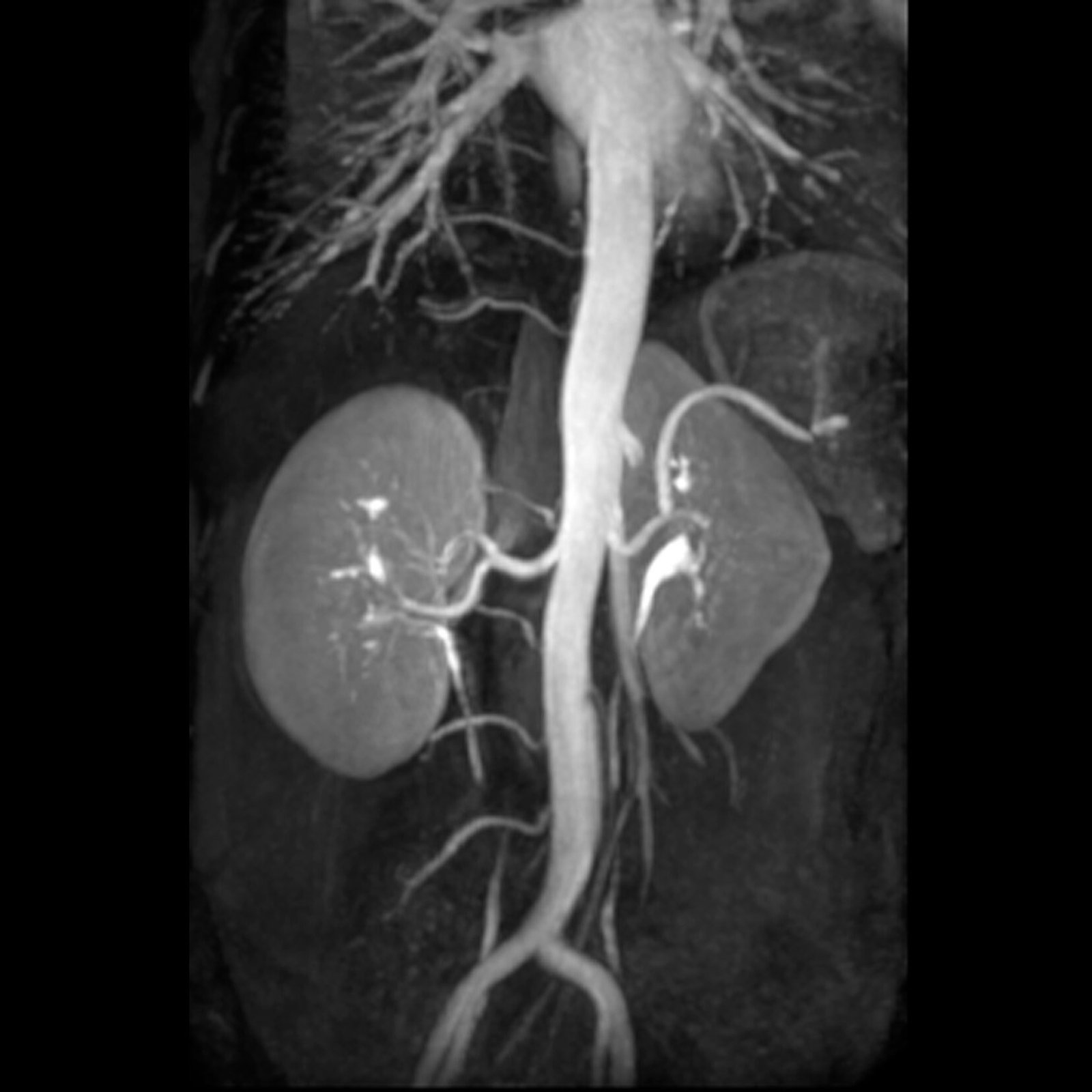
Vascular
Vascular
Manage Your Cookie Preferences
Under the Digital Personal Data Protection Act, 2023 (DPDPA) and IT (SPDI) Rules 2011, you have the right to control how your data is collected. Please choose which cookies you wish to allow.
Strictly Necessary CookiesAlways Active
These cookies are essential for the website to function and cannot be switched off. They are usually set in response to your actions such as filling in forms or setting your privacy preferences. No personal data is stored beyond what is strictly necessary.
Analytics & Performance Cookies
These cookies help us understand how visitors interact with our website (e.g., Google Analytics). All data is anonymised and used only in aggregate form. No sensitive health information is linked to these cookies.
Marketing & Targeting Cookies
These cookies may be set by our advertising partners to build a profile of your interests. We do not share any medical or diagnostic information. You may opt out at any time.
As a healthcare provider, we comply with DPDPA 2023, the IT Act 2000, and SPDI Rules 2011. Your data is never sold to third parties. For details, read our Cookie Policy and Privacy Policy.
🆕 We Value Your Privacy
X-Ray House uses cookies to improve your browsing experience, analyse site traffic, and personalise content. As a healthcare provider governed by the
Digital Personal Data Protection Act (DPDPA), 2023 and IT Act 2000, we are committed to protecting your personal data.
We do not store any medical or diagnostic information through cookies.
By clicking "Accept All", you consent to our use of all cookies. You may customise your preferences or reject non-essential cookies at any time.
Read our Cookie Policy